Members can attend monthly recorded and live interactive webinars. Webinars are archived on the website for later viewing for members only.
"The best $99 I've ever spent on CE" Roger Story, DVM
Internal Medicine (IM) Blog
- Clinically-relevant Internal Medicine Topics.
Emergency Medicine and Critical Care (ECC) Blog
- Clinically-relevant Emergency and Critical Care Topics.
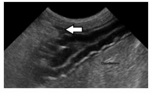
Case Studies About Clinical Application of Point-of-Care Ultrasound
> 100 Didactic, Blogged AFAST®, TFAST® and Vet BLUE® Video Clips. Library includes normals and pathology!
We add new content to FASTVet.com monthly. Keep informed with our monthly Premium Member newsletter with updates and resources so you can maximize your use of ultrasound in your veterinary practice.
FASTVet Premium Members get Huge Savings on our Online Global FAST® Courses.
We are so confident in our Global FAST® ultrasound education we offer a 30-Day Money-Back Guarantee on the Premium Membership if you do not find the resources helpful in improving patient care in your practice. This is a yearly membership that automatically renews; however, you can cancel at any time!
1) Become a FASTVet Premium Member
2) Enroll in Online Courses
3) Attend In-Person Hands-on Training
Buy Our Book
Point-of-Care Ultrasound (POCUS) Techniques for the Small Animal Practitioner, 2nd Edition, Wiley ©2021 provides you with a highly practical guide to incorporating Global FAST® and many other POCUS exams into the veterinary practice. Global FAST® and POCUS exams are an effective way to quickly detect conditions and complications not readily apparent through the physical exam, laboratory diagnostics, or radiographic findings. Read more …
